Kontakt
Persönliche Beratung und Betreuung
Sie benötigen einen Zahnersatz – ein Zahnimplantat, eine Prothese, eine Krone o.ä.? Und das auch noch so schnell wie möglich? Kein Problem bei uns! Unsere Zahnarztpraxis verfügt über ein hauseigenes Dentallabor. So können wir Sie jederzeit persönlich und individuell betreuen. Und Sie sparen dabei viel Zeit und Geld. Denn dank sofortiger Anpassung und Abstimmung in unserem Labor kann die Anzahl der sonst üblichen Termine bei Anfertigung im Außenlabor deutlich reduziert werden.
Persönliche Beratung und Betreuung
Durch unser hauseigenes Dentallabor sind wir in der Lage, sie in puncto Zahnersatz unmittelbar, persönlich und individuell vor Ort zu beraten und zu betreuen. Dank direkter Anpassung und Abstimmung reduzieren wir die Anzahl der sonst üblichen Termine bei Anfertigung im Außenlabor.
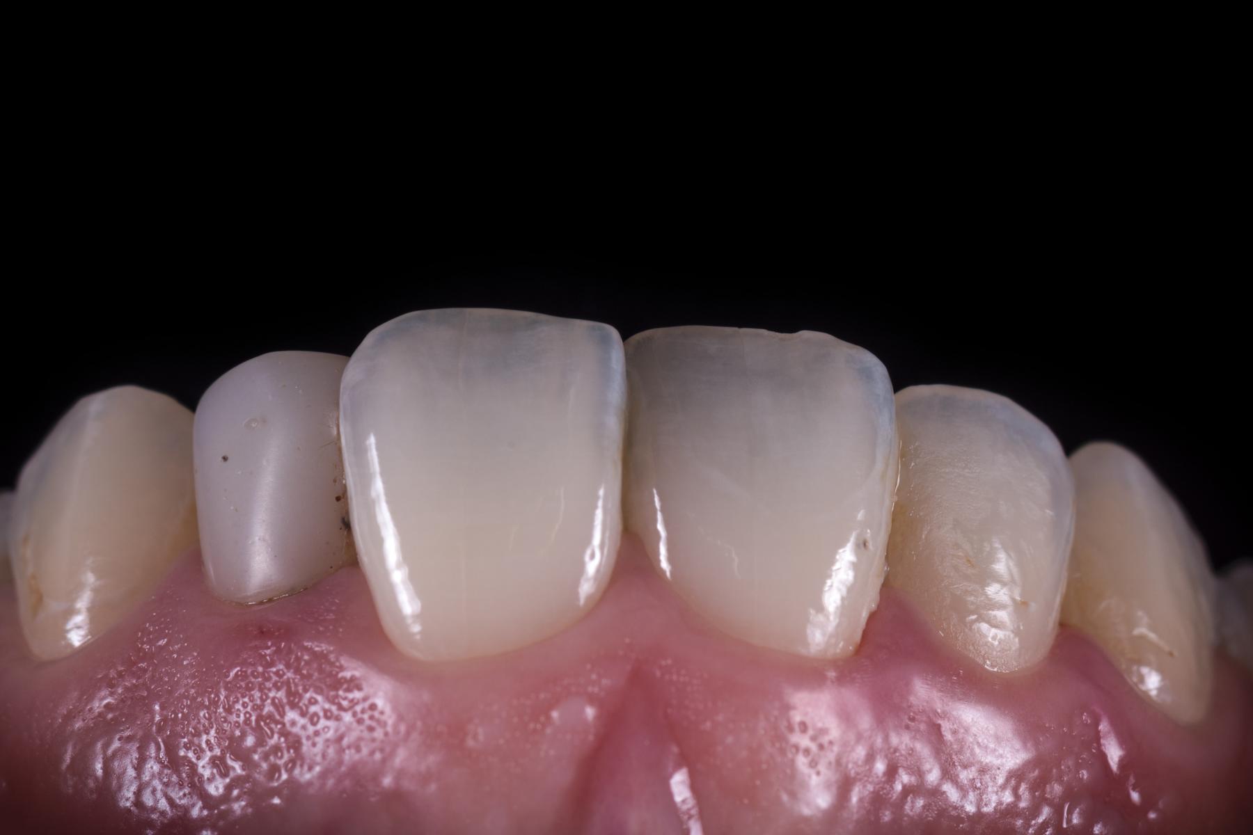
Herstellung von Zahnersatz
Unser Dentallabor hat sich spezialisiert auf die ästhetisch anspruchsvolle Herstellung von keramischem Zahnersatz. Das Labor unterstützt unser Praxisteam bei der Farbauswahl und der Einprobe von Zahnersatz am Patienten. Dabei gehen wir auf Ihre Wünsche und Bedürfnisse ein.
Herstellung von Zahnersatz
Unser Dentallabor hat sich spezialisiert auf die ästhetisch anspruchsvolle Herstellung von keramischem Zahnersatz. Das Labor unterstützt unser Praxisteam bei der Farbauswahl und der Einprobe von Zahnersatz am Patienten. Dabei gehen wir auf Ihre Wünsche und Bedürfnisse ein.

© Andrey Popov – stock.adobe.com
Kurze Wege in der Kommunikation
Kurze Wege – schnelle Kommunikation: Ein hauseigenes Zahnlabor bedeutet, dass alle Absprachen zwischen Zahnarzt und Zahntechniker unmittelbar getroffen werden können. Somit können wir Sie nicht nur umfassend beraten, sondern Sie erhalten Ihren Zahnersatz (Zahnimplantat, Prothese, Veneers, Krone, Brücke) so schnell wie möglich. Auch Anpassungen können umgehend realisiert werden. Direkt hier vor Ort in Hameln. Direkt bei Ihnen vor der Haustür!
Kurze Wege in der Kommunikation
Durch das hauseigene Zahnlabor erfolgt die Kommunikation zwischen Zahnarzt und Zahntechniker unmittelbar. Das spart Ihnen Zeit und reduziert die Anzahl der sonst üblichen Termine bei Anfertigung im Außenlabor.
Sie sehen gerade einen Platzhalterinhalt von Standard. Um auf den eigentlichen Inhalt zuzugreifen, klicken Sie auf den Button unten. Bitte beachten Sie, dass dabei Daten an Drittanbieter weitergegeben werden.
Weitere InformationenKontakt
Öffnungszeiten
| Montag: | 08:00 – 19:00 Uhr |
| Dienstag: | 08:00 – 19:00 Uhr |
| Mittwoch: | 08:00 – 19:00 Uhr |
| Donnerstag: | 08:00 – 19:00 Uhr |
| Freitag: | 08:00 – 13:00 Uhr |
Sie sehen gerade einen Platzhalterinhalt von Jameda. Um auf den eigentlichen Inhalt zuzugreifen, klicken Sie auf die Schaltfläche unten. Bitte beachten Sie, dass dabei Daten an Drittanbieter weitergegeben werden.
Mehr Informationen




